Phone
+971 50 217 3659
UAE, Dubai,
Lamar Residence (SBK) shop 26

A Beautiful Child Is a Healthy Child
Healthy Growth Starts with the Right Bite

The first orthodontic evaluation is recommended at age 5-6, when baby teeth begin transitioning to permanent teeth. This is the critical window to guide proper jaw development — not correct problems later.

  • Specialized pediatric jaw and bite diagnostics
  • Gentle, non-invasive treatment approach
  • Guide healthy jaw development and prevent future complications
4.9 Google
15+ Years
10,000+ Patients

Special Offer — Jumeirah Branch (until the end of April)

Take advantage of a limited-time offer and receive comprehensive dental care at a great price.

Consultation, cleaning, and X-ray
500 AED 1,500 AED

+971 50 217 3659

We don’t just straighten teeth — we guide facial growth

Our orthodontic treatment is based on the Vienna School of Gnathology, using advanced guided growth techniques to ensure:

  • Proper jaw development
  • Balanced facial profile
  • Healthy breathing and function

Early signs
your child may need orthodontic guidance

Early assessment helps guide proper jaw development, breathing patterns, and long-term alignment.

Mouth breathing (instead of nasal breathing)

Facial asymmetry

Tongue rests low in the mouth instead of the palate

Baby teeth are not falling out on time

No spacing between baby teeth

Permanent teeth grow crowded, rotated, or out of position

Narrow smile or excessive gum display

Upper jaw is underdeveloped

Lower jaw appears set back ("bird profile")

What Parents Say About Their Child’s Care

Families trust our clinic for thoughtful diagnostics, gentle treatment, and a child-focused approach that helps young patients feel safe and supported throughout their care.

Mohammad Bachir

Excellent clinic with truly top-class dentists — professional, skilled, and very reassuring. The kids’ area is a big plus, making visits much easier for families. Clean, modern, and well organized. Highly recommended.
05.03.2026

Evgeniya Strizhevskaya

Really lucky to have this amazing dental clinic in the area! High professional doctors, great facilities. We would like to thank the pediatric dentistry team for their wonderful care. Even though my child is usually afraid of dental treatment, he felt comfortable and safe at this clinic. The doctors were kind and patient, and the whole experience was calm and positive. Highly recommended for children’s dental care.
18.02.2026

Marina

We're undergoing treatment with therapist Anastasia and orthodontist Elizaveta. My daughter is happy to go, without tears or unnecessary negative emotions. Dentaldate - one love ❤️
17.01.2026

Yuliya Bancroft

We visited twice with our 5 years old daughter and couldn’t be happier. Dr Liliya and Dr Julia are both amazing and the child gets to really like coming to the dentist after this experience. Very professional, great experience
19.12.2025

Hamed Atbaei

We visited the clinic with my daughter, who needed the treatment for her milk teeth and definitely she was afraid! Big thanks to Dr. Anastasia and Dr. Yuliia, who find approach to child, so that she not only scared but it not was painful as we were expected! So we keep visiting the clinic for treatments, and child is happily agree to meet the doctors again!
18.11.2025

Khaled Alkaabi

Really the best dental place in dubai, i keep my daughter with the Dr and have a quite coffee in missoni cup thats the best part 🌹
15.10.2025

Margarita

A pleasant clinic with attentive doctors. I went with my daughter to have her teeth cleaned with the Air Flow device. Dr. Anastasia kept asking how she was feeling and if everything was okay. The time flew by. We're happy.
05.09.2025

Pavel Oshkaderov

Fantastic service, first time I saw my kids so eager to go to the dentist Thanks
29.08.2025

Elvina Belialova

The best clinic, wonderful doctors and staff, after the procedure they give gifts and treats to the children. Thank you for your work.
09.08.2025

Dana Ghazaleh

Thank you to the Dentaldate staff, and especially to Dr. Yulia, for the excellent service. We began our treatment at the clinic and are very pleased with the professional team led by Dr. Liliya
20.06.2025

With over 15 years of clinical experience, Dr. Liliya Zhernova specializes in pediatric orthodontics and functional facial development.

Her approach goes far beyond straightening teeth — it is about guiding the growth of the child’s face, jaws, and function from an early age.

Our goal is to:

  • guide jaw growth
  • create space naturally
  • restore proper breathing and function
  • build a well-balanced facial profile
"We don’t mask the problem — we treat its cause. Most orthodontic treatments focus on aligning teeth. We focus on why the problem appeared in the first place."

Dr. Liliya Zhernova

Orthodontist-Gnathologist | General Dentist | Founder of DentalDate Dubai City Walk/Jumeirah | DentalDate Moscow

She has successfully treated hundreds of children, with a strong focus on:

  • Gentle adaptation
  • Trust-building with young patients
  • Long-term developmental outcomes

Our Expert Team

Trust the health of your smile to a team of professionals with an average of 10+ years of experience

Liliya Zhernova

Liliya Zhernova

Owner, Medical Director, Orthodontist-Gnathologist

  • Focused on diagnosing and treating both simple and complex bite and jaw conditions in children and adults using modern orthodontic and functional approaches.
Rita Jafarova

Rita Jafarova

Orthodontist-gnathologist, General Dentist

  • I specialize in orthodontic and gnathological treatment for children and adults - from early bite issues to complex aesthetic cases.
Anastasiia Mordanova

Anastasiia Mordanova

Pediatric dentist, General Dentist

  • I specialize in treating children from the earliest age — starting with the eruption of their first tooth, with a strong focus on comfort, trust, and individualized care.
Elizaveta Kurashova

Elizaveta Kurashova

Orthodontist-gnathologist

  • Applying advanced diagnostic methods and clinically proven techniques to correct bite disorders and achieve stable, well-aligned results.
Mariia Kuchmina

Mariia Kuchmina

Orthodontist-gnathologist

  • Providing orthodontic and gnathological treatment for children, teenagers, and adults — from early bite issues to complex asymmetries and TMJ disorders.

Guided Growth Orthodontics

We use a combination of advanced techniques tailored to each child's stage of development:

Step icon

Expansion & Jaw Development

  • Haas appliance for upper jaw expansion
  • Functional appliances to stimulate proper growth
Step icon

Early Alignment & Prevention

  • Invisalign First (Invisalign System) for early correction
  • Partial bracket systems when needed
Step icon

Functional Correction

  • Special appliances that reposition the jaws
  • Plates (removable appliances) for guided development
Step icon

Continuous Monitoring

  • Every child is carefully observed over time
  • Regularly adjusted, because growth is a process - not a one-time treatment
  • Guided through each growth stage

Give Your Child the Foundation for a Healthy Smile

Early diagnosis and gentle care can help guide proper jaw development, improve comfort, and support healthy growth.

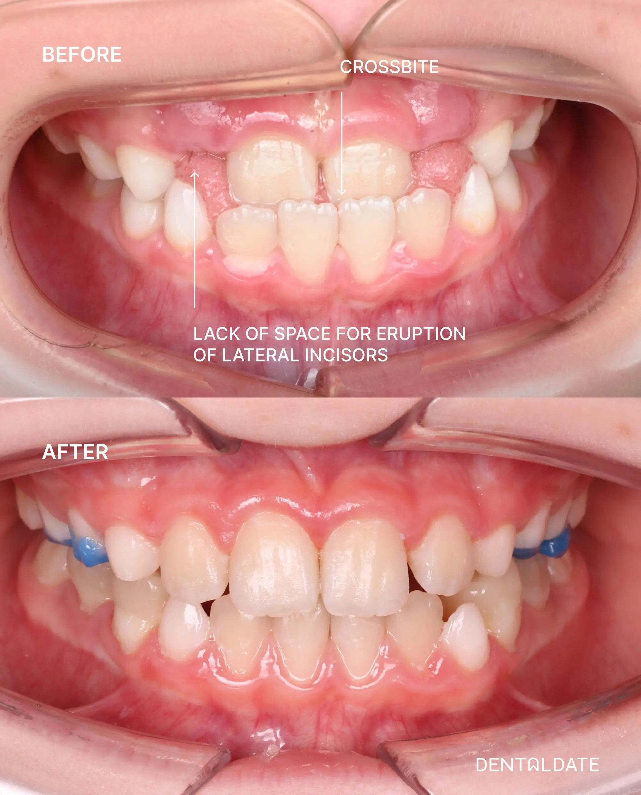
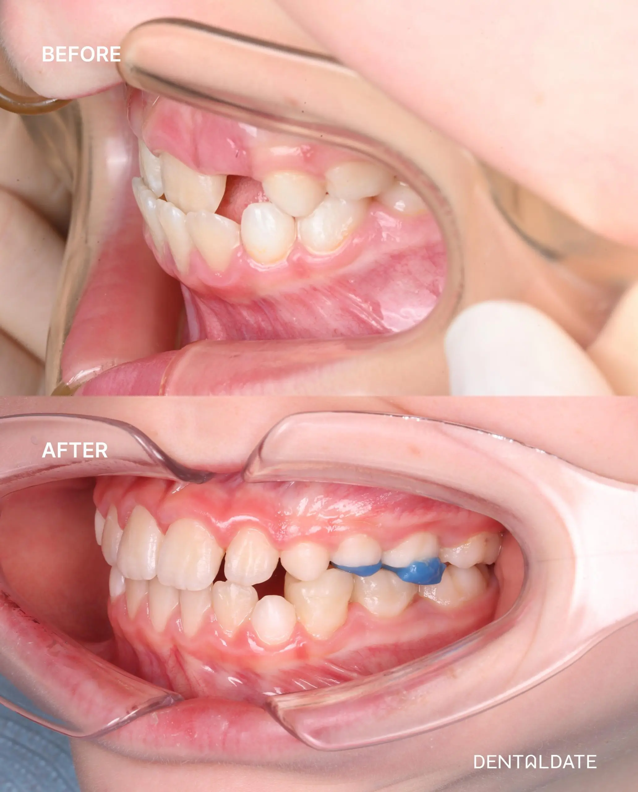
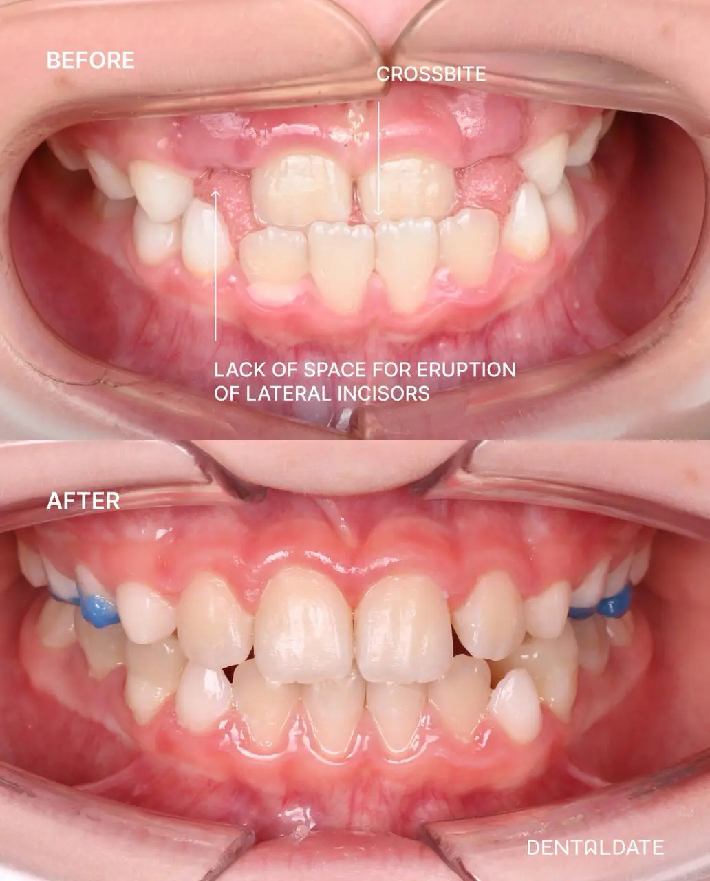
Patient Success Stories

Real transformations from our patients with TMJ disorders

Before & After: Real Patient Transformations

See the difference expert dental care can make. Explore real results and discover how smiles are transformed.

When Should You Take Your Child to an Orthodontist?

Many parents assume that orthodontic treatment begins in the teenage years. However, the most important first visit should happen much earlier — around the age of 5.5 years.

At approximately five and a half, a child enters the stage known as mixed dentition, when both baby teeth and permanent teeth are present. This is a critical window in craniofacial development. During this time, the jaws are still actively growing, and their development can be guided in the right direction.

An early orthodontic evaluation allows the specialist to identify developing issues such as jaw discrepancies, crowding, malocclusion,
or harmful habits (like mouth breathing or thumb sucking). At this stage, treatment is often simpler, more physiological, and highly effective.

The key advantage of early intervention is growth modification. Instead of correcting fully developed problems later in life, the orthodontist can guide the natural development of the jaws and dental arches. This approach can help prevent more complex treatments, extractions, or even surgery in the future.

Delaying the first visit may mean missing this unique developmental window. Once growth slows, treatment becomes more limited and often more invasive.

In summary, the age of 5.5 years is not too early — it is strategically ideal. A timely consultation ensures that your child’s smile develops harmoniously, supporting proper function, aesthetics, and long-term stability.

Secure Your Child's Healthy Future Today

Don't wait for small issues to become big problems. A simple evaluation can provide peace of mind and set your child on the path to lifelong health and comfort. Schedule a specialized consultation with our expert team.